• 九游会·J9-官方网站|真人游戏第一品牌j9九游会

    AAV股票代码
    688238
    腺相关病毒股票代码
    688238
    药理药效学评价

    药理药效学评价

    全国服务热线400-151-5198      业务咨询15800353038

      j9九游会生物动物实验平台可提供小动物解剖、病理检测、相关药效评价及药代动力学等服务项目。
      
      1、病理检测
      
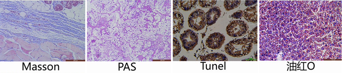
      动物实验部配备有小动物解剖室、切片染色室及阅片室,配备进口全自动脱水机、包埋机、石蜡切片机、冰冻切片机、烘片仪、荧光显微镜等现代化组织病理科研设备,具备多种组织染色技术,可提供石蜡切片、冰冻切片、免疫组化、免疫荧光,特殊染色等病理切片染色服务。
      
     
    石蜡切片
     


     
    冰冻切片
     
      

    免疫荧光
     
      
     
    特殊染色
     
     
     
      
      2、药物代谢动力学
      
      简称药代动学或药动学,主要是定量研究药物在生物体内的过程。通常,先获得药物在体液(如血浆或全血)中的浓度曲线,然后利用数学模型对之进行研究以描述出药物在体内的动态规律(吸收、分布、代谢和排泄)。一个典型的PK研究通常包括三个步骤:动物给药、样本采集及样品分析。
     
    一键拨号 一键导航
    扫码反馈

    扫一扫,反馈当前页面

    咨询反馈
    扫码关注

    j9九游会生物

    返回顶部
    j9九游会